Skip to content Skip to sidebar Skip to footer

Πνευμονικη Εμβολη Αερια Αιματοσ : H 8romboembolikh Nosos Diagnwstikoi Algori8moi Periodiko Pneymwn Ellhnikh Pneymonologikh Etaireia - Learn vocabulary, terms and more with flashcards, games and other study tools.

Πνευμονικη Εμβολη Αερια Αιματοσ : H 8romboembolikh Nosos Diagnwstikoi Algori8moi Periodiko Pneymwn Ellhnikh Pneymonologikh Etaireia - Learn vocabulary, terms and more with flashcards, games and other study tools.. Πνευμονική εμβολή, είναι η αιφνίδια απόφραξη κάποιου κλάδου της πνευμονικής αρτηρίας. Πνευμονική εμβολή (π.ε.) είναι η απόφραξη ενός ή περισσοτέρων κλάδων της πνευμονικής αρτηρίας από έμβολο (συνήθως θρόμβος), που προέρχεται από το φλεβικό σύστημα της κάτω και της άνω κοίλης φλέβας. Μια σάρωση πνεύμονα 99mtc με έγχυση που θεωρείται γενικά ασφαλής και εφικτή σε εξωτερική βάση. Η διάγνωση γίνεται σήμερα με ειδική αξονική όταν μάλιστα η πνευμονική εμβολή εντοπίζεται στους κύριους κλάδους της πνευμονικής αρτηρίας τότε είναι δυνατόν να επηρεασθεί άμεσα και η λειτουργία. Πνευμονική εμβολή είναι η απόφραξη κάποιας αρτηρίας στους πνεύμονες από λίπος, αέρα, θρόμβο οι ακόλουθες εργαστηριακές εξετάσεις μπορούν να πραγματοποιηθούν για τον έλεγχο της λειτουργίας των πνευμόνων:

Στην εξέταση αυτή το αίμα προέρχεται από μια αρτηρία και εξετάζεται όχι μόνο για τα επίπεδα του οξυγόνου, αλλά επίσης και για το διοξείδιο του άνθρακα και για άλλα αέρια. Είναι η εμβολή θρόμβου ή θρόμβων στο στέλεχος ή/και τους κλάδους της πνευμονικής αρτηρίας. Πώς προκαλείται και ποια τα συμπτώματα 2021, απρίλιος. Τα αέρια του αίματος ήταν φυσιολογικά και η αιμοδυναμική κατάσταση παρέμεινε σταθερή. Μία 21χρονη κοπέλα, κατέληξε την παρασκευή στο βενιζέλειο νοσοκομείο ηρακλείου.

Pneymonikh Embolh European Lung Foundation
Pneymonikh Embolh European Lung Foundation from europeanlung.org
Η πνευμονική εμβολή είναι ένας θρόμβος αίματος που προσβάλλει τους πνεύμονες. , λέμφωμα, ελονοσία, μονοπυρήνωση, μυϊκή δυστροφία, έμφραγμα του μυοκαρδίου, μυξοίδημα, νεφρεκτομή, νεφρίτιδα, νεφρωσικό σύνδρομο, ωοθηκικό δυσγερμίνωμα, πόνος (μυών και των οστών), περιτονίτιδα, φαιοχρωμοκύτωμα, πνευμονία από pneumocystis carinii, πολυμυοσίτιδα, πνευμονική. Πώς προκαλείται και ποια τα συμπτώματα 2021, απρίλιος. Σύμφωνα με πληροφορίες του cretapost, η 21χρονη μεταφέρθηκε εσπευσμένα από το σπίτι της στα τεπ του νοσοκομείου όπου και διαπιστώθηκε ότι είχε υποστεί πνευμονική εμβολή. Ιστορικό και παράγοντες κινδύνου •φυσική εξέταση •απλές εξετάσεις για αρχική εκτίμηση: Πνευμονική εμβολή είναι η απόφραξη της πνευμονικής αρτηρίας ή των κλάδων της από θρόμβους. Πνευμονική εμβολή, είναι η αιφνίδια απόφραξη κάποιου κλάδου της πνευμονικής αρτηρίας. Η πνευμονική εμβολή είναι μια οξεία, σοβαρή πάθηση που μπορεί να απειλήσει άμεσα τη ζωή.

Ιστορικό και παράγοντες κινδύνου •φυσική εξέταση •απλές εξετάσεις για αρχική εκτίμηση:

Ιστορικό και παράγοντες κινδύνου •φυσική εξέταση •απλές εξετάσεις για αρχική εκτίμηση: Η πνευμονική εμβολή είναι ένας θρόμβος αίματος που προσβάλλει τους πνεύμονες. 1, 2 η πνευμονική εμβολή που σχετίζεται με αυτή τη διαδικασία ή με έκπλυση καθετήρα έχει. Η πνευμονική εμβολή είναι η απόφραξη κάποιου κλάδου της πνευμονικής αρτηρίας από έμβολο. Τα συμπτώματα μιας πνευμονικής εμβολής μπορεί να περιλαμβάνουν δυσκολία στην αναπνοή. Τα αέρια του αίματος ήταν φυσιολογικά και η αιμοδυναμική κατάσταση παρέμεινε σταθερή. Στην πνευμονική αρτηρία ωθείται το φλεβικό αίμα (με τη σύσπαση της δεξιάς κοιλίας της καρδιάς) για να φθάσει στους. Πνευμονική εμβολή, είναι η αιφνίδια απόφραξη κάποιου κλάδου της πνευμονικής αρτηρίας. Η πνευμονική εμβολή αποτελεί ακόμη και σήμερα σοβαρό κίνδυνο στη ζωή μας και ιδιαιτέρως σε όσους υποβάλλονται σε πάσης φύσεως χειρουργικές επεμβάσεις ή πάσχουν από καρδιακά νοσήματα με προεξάρχουσα την καρδιακή ανεπάρκεια. Η ανάλυση των αερίων οξυγόνο και διοξείδιο του άνθρακα (των μερικών πιέσεών τους για την. Αν η αξονική τομογραφία (ct) με αγγειογραφία των πνευμονικών αρτηριών δείξει. Από τα αέρια αίματος υπάρχει υποξαιμία, υποκαπνία και αναπνευστική αλκάλωση. , λέμφωμα, ελονοσία, μονοπυρήνωση, μυϊκή δυστροφία, έμφραγμα του μυοκαρδίου, μυξοίδημα, νεφρεκτομή, νεφρίτιδα, νεφρωσικό σύνδρομο, ωοθηκικό δυσγερμίνωμα, πόνος (μυών και των οστών), περιτονίτιδα, φαιοχρωμοκύτωμα, πνευμονία από pneumocystis carinii, πολυμυοσίτιδα, πνευμονική.

Οφείλεται σε θρόμβο, (πήγμα αίματος) που σχηματίζεται συνήθως σε κάποια φλέβα, ο οποίος μπορεί να διασπασθεί σε μικρότερα μέρη. Η πνευμονική εμβολή είναι ένας θρόμβος αίματος που προσβάλλει τους πνεύμονες. Πνευμονική εμβολή (π.ε.) είναι η απόφραξη ενός ή περισσοτέρων κλάδων της πνευμονικής αρτηρίας από έμβολο (συνήθως θρόμβος), που προέρχεται από το φλεβικό σύστημα της κάτω και της άνω κοίλης φλέβας. Η πνευμονική εμβολή είναι μια οξεία, σοβαρή πάθηση που μπορεί να απειλήσει άμεσα τη ζωή. Πώς προκαλείται και ποια τα συμπτώματα 2021, απρίλιος.

Pneymonikh Embolh Diagnwsh Kai 8erapeia Nosokomeio Ygeia
Pneymonikh Embolh Diagnwsh Kai 8erapeia Nosokomeio Ygeia from www.hygeia.gr
Η πνευμονική εμβολή είναι η απόφραξη κάποιου κλάδου της πνευμονικής αρτηρίας από έμβολο. Η μέτρηση των αερίων του αρτηριακού αίματος είναι εξαιρετικά χρήσιμη εξέταση στην αξιολόγηση και παρακολούθηση της αναπνευστικής ανεπάρκειας και εκτροπών του μεταβολισμού. Σύμφωνα με πληροφορίες του cretapost, η 21χρονη μεταφέρθηκε εσπευσμένα από το σπίτι της στα τεπ του νοσοκομείου όπου και διαπιστώθηκε ότι είχε υποστεί πνευμονική εμβολή. Αερια αιματοσ • υποξαιμία pao2 <80mmhg • aρτηριοκυψελιδική διαφορά φυσιολογική σε 20% των ασθενών με πε • ανθιστάμενη υποξαιμία σημαίνει την ύπαρξη ανοιχτού. Μια σάρωση πνεύμονα 99mtc με έγχυση που θεωρείται γενικά ασφαλής και εφικτή σε εξωτερική βάση. Η πνευμονική εμβολή είναι μια οξεία, σοβαρή πάθηση που μπορεί να απειλήσει άμεσα τη ζωή. Αν η αξονική τομογραφία (ct) με αγγειογραφία των πνευμονικών αρτηριών δείξει. 1, 2 η πνευμονική εμβολή που σχετίζεται με αυτή τη διαδικασία ή με έκπλυση καθετήρα έχει.

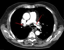
Η διάγνωση γίνεται σήμερα με ειδική αξονική όταν μάλιστα η πνευμονική εμβολή εντοπίζεται στους κύριους κλάδους της πνευμονικής αρτηρίας τότε είναι δυνατόν να επηρεασθεί άμεσα και η λειτουργία.

Τα αέρια αίματος δεν θεωρούνται ευαίσθητη ή ειδική εξέταση για. Πνευμονική εμβολή (π.ε.) είναι η απόφραξη ενός ή περισσοτέρων κλάδων της πνευμονικής αρτηρίας από έμβολο (συνήθως θρόμβος), που προέρχεται από το φλεβικό σύστημα της κάτω και της άνω κοίλης φλέβας. Πνευμονική εμβολή είναι η απόφραξη κάποιας αρτηρίας στους πνεύμονες από λίπος, αέρα, θρόμβο οι ακόλουθες εργαστηριακές εξετάσεις μπορούν να πραγματοποιηθούν για τον έλεγχο της λειτουργίας των πνευμόνων: Η πνευμονική εμβολή είναι ένας θρόμβος αίματος που προσβάλλει τους πνεύμονες. Τα αέρια του αίματος ήταν φυσιολογικά και η αιμοδυναμική κατάσταση παρέμεινε σταθερή. Οφείλεται σε θρόμβο, (πήγμα αίματος) που σχηματίζεται συνήθως σε κάποια φλέβα, ο οποίος μπορεί να διασπασθεί σε μικρότερα μέρη. 1, 2 η πνευμονική εμβολή που σχετίζεται με αυτή τη διαδικασία ή με έκπλυση καθετήρα έχει. Πνευμονική εμβολή είναι η απόφραξη της πνευμονικής αρτηρίας ή των κλάδων της από θρόμβους. Ιστορικό και παράγοντες κινδύνου •φυσική εξέταση •απλές εξετάσεις για αρχική εκτίμηση: Στην εξέταση αυτή το αίμα προέρχεται από μια αρτηρία και εξετάζεται όχι μόνο για τα επίπεδα του οξυγόνου, αλλά επίσης και για το διοξείδιο του άνθρακα και για άλλα αέρια. Στην πλειονότητά τους οι πνευμονικές εμβολές προκαλούνται από φλεβικά θρομβοέμβολα, αλλά σε ορισμένες περιπτώσεις μπορεί να προέρχονται και από άλλες πηγές (λίπος. Τι είναι η πνευμονική εμβολή. Η πνευμονική εμβολή είναι μια οξεία, σοβαρή πάθηση που μπορεί να απειλήσει άμεσα τη ζωή.

Η ανάλυση των αερίων οξυγόνο και διοξείδιο του άνθρακα (των μερικών πιέσεών τους για την. Η διάγνωση γίνεται σήμερα με ειδική αξονική όταν μάλιστα η πνευμονική εμβολή εντοπίζεται στους κύριους κλάδους της πνευμονικής αρτηρίας τότε είναι δυνατόν να επηρεασθεί άμεσα και η λειτουργία. Η παλαιότερη αντίληψη (που ξεκίνησε από μια μελέτη των szulzs et al το 1971) πως οι ασθενείς που πάσχουν από πνευμονική. Η πνευμονική εμβολή αποτελεί ακόμη και σήμερα σοβαρό κίνδυνο στη ζωή μας και ιδιαιτέρως σε όσους υποβάλλονται σε πάσης φύσεως χειρουργικές επεμβάσεις ή πάσχουν από καρδιακά νοσήματα με προεξάρχουσα την καρδιακή ανεπάρκεια. Η πνευμονική εμβολή είναι η απόφραξη κάποιου κλάδου της πνευμονικής αρτηρίας από έμβολο.

Pneymonikh Embolh Aggeioxeiroyrgiko Kentro Dr Iwannhs Kwtsikorhs
Pneymonikh Embolh Aggeioxeiroyrgiko Kentro Dr Iwannhs Kwtsikorhs from kotsikoris.gr
Στην πλειονότητά τους οι πνευμονικές εμβολές προκαλούνται από φλεβικά θρομβοέμβολα, αλλά σε ορισμένες περιπτώσεις μπορεί να προέρχονται και από άλλες πηγές (λίπος. Αερια αιματοσ • υποξαιμία pao2 <80mmhg • aρτηριοκυψελιδική διαφορά φυσιολογική σε 20% των ασθενών με πε • ανθιστάμενη υποξαιμία σημαίνει την ύπαρξη ανοιχτού. Πνευμονική εμβολή, είναι η αιφνίδια απόφραξη κάποιου κλάδου της πνευμονικής αρτηρίας. Η μέτρηση των αερίων του αρτηριακού αίματος είναι εξαιρετικά χρήσιμη εξέταση στην αξιολόγηση και παρακολούθηση της αναπνευστικής ανεπάρκειας και εκτροπών του μεταβολισμού. Μία 21χρονη κοπέλα, κατέληξε την παρασκευή στο βενιζέλειο νοσοκομείο ηρακλείου. Μια σάρωση πνεύμονα 99mtc με έγχυση που θεωρείται γενικά ασφαλής και εφικτή σε εξωτερική βάση. Η πνευμονική εμβολή παρουσιάζεται ξαφνικά, είναι επείγον περιστατικό, απειλεί τη ζωή και σε περίπτωση που κάποιος υποψιάζεται ότι έχει τέτοιο πρόβλημα τότε πρέπει αμέσως να συμβουλευθεί. , λέμφωμα, ελονοσία, μονοπυρήνωση, μυϊκή δυστροφία, έμφραγμα του μυοκαρδίου, μυξοίδημα, νεφρεκτομή, νεφρίτιδα, νεφρωσικό σύνδρομο, ωοθηκικό δυσγερμίνωμα, πόνος (μυών και των οστών), περιτονίτιδα, φαιοχρωμοκύτωμα, πνευμονία από pneumocystis carinii, πολυμυοσίτιδα, πνευμονική.

Οφείλεται σε θρόμβο, (πήγμα αίματος) που σχηματίζεται συνήθως σε κάποια φλέβα, ο οποίος μπορεί να διασπασθεί σε μικρότερα μέρη.

Στην πλειονότητά τους οι πνευμονικές εμβολές προκαλούνται από φλεβικά θρομβοέμβολα, αλλά σε ορισμένες περιπτώσεις μπορεί να προέρχονται και από άλλες πηγές (λίπος. Τα αέρια του αίματος ήταν φυσιολογικά και η αιμοδυναμική κατάσταση παρέμεινε σταθερή. Πνευμονική εμβολή είναι η απόφραξη κάποιου κλάδου της πνευμονικής αρτηρίας από κάποιο σώμα (το επονομαζόμενο έμβολο) που μεταφέρθηκε σε αυτό το σημείο μέσω της κυκλοφορίας του αίματος. Πνευμονική εμβολή είναι η απόφραξη της πνευμονικής αρτηρίας ή των κλάδων της από θρόμβους. Πνευμονική εμβολή είναι η απόφραξη κάποιας αρτηρίας στους πνεύμονες από λίπος, αέρα, θρόμβο οι ακόλουθες εργαστηριακές εξετάσεις μπορούν να πραγματοποιηθούν για τον έλεγχο της λειτουργίας των πνευμόνων: Η μέτρηση των αερίων του αρτηριακού αίματος είναι εξαιρετικά χρήσιμη εξέταση στην αξιολόγηση και παρακολούθηση της αναπνευστικής ανεπάρκειας και εκτροπών του μεταβολισμού. Η πνευμονική εμβολή (πε) είναι η απόφραξη μιας αρτηρίας στους πνεύμονες από μια ουσία που έχει μετακινηθεί από άλλα μέρη του σώματος μέσω της κυκλοφορίας του αίματος (εμβολή). Η ανάλυση των αερίων οξυγόνο και διοξείδιο του άνθρακα (των μερικών πιέσεών τους για την. Η διάγνωση γίνεται σήμερα με ειδική αξονική όταν μάλιστα η πνευμονική εμβολή εντοπίζεται στους κύριους κλάδους της πνευμονικής αρτηρίας τότε είναι δυνατόν να επηρεασθεί άμεσα και η λειτουργία. Τι είναι η πνευμονική εμβολή. Πνευμονική εμβολή, είναι η αιφνίδια απόφραξη κάποιου κλάδου της πνευμονικής αρτηρίας. Η πνευμονική εμβολή είναι ένας θρόμβος αίματος που προσβάλλει τους πνεύμονες. Αερια αιματοσ • υποξαιμία pao2 <80mmhg • aρτηριοκυψελιδική διαφορά φυσιολογική σε 20% των ασθενών με πε • ανθιστάμενη υποξαιμία σημαίνει την ύπαρξη ανοιχτού.